Researchers discover new microprotein that controls metabolic health in mouse fat cells

Researchers discover new microprotein that controls metabolic health in mouse fat cells

Like bees breathing life into gardens, providing pollen and making flowers blossom, little cellular machines called mitochondria breathe life into our bodies, buzzing with energy as they produce the fuel that powers each of our cells. Maintaining mitochondrial metabolism requires input from many molecules and proteins—some of which have yet to be discovered.

Salk Institute researchers are taking a closer look at whether mitochondria rely on microproteins—small proteins that have been difficult to find and, consequently, underestimated for their role in health and disease. In their new study, a microprotein discovered just last year at Salk, called SLC35A4-MP, was found to play a critical role in upholding mitochondrial structure and regulating metabolic stress in mouse fat cells. The findings plant the seed for future microprotein-based treatments for obesity, aging, and other mitochondrial disorders.

The study, published in Science Advances on August 29, 2025, is part of a series of recent discoveries at Salk that showcase the functional importance of microproteins in cellular biology, metabolism, and stress.

“Microproteins have long been dismissed as random genetic junk, but our work adds to a growing body of research demonstrating that many of them are actually crucial regulators of cell physiology,” says senior author Alan Saghatelian, professor and Dr. Frederik Paulsen Chair at Salk. “Here we reveal that a microprotein is responsible for preserving mitochondrial structure and function in brown fat tissue, which regulates body temperature and energy balance.”

In the late spring of 2024, Saghatelian’s lab discovered the genetic code for SLC35A4-MP hidden in an upstream open reading frame on a strand of messenger RNA (mRNA). The longstanding belief was that each mRNA strand codes for a single protein—a one-to-one ratio of mRNA-to-protein, always. So, when scientists found additional sections of genetic material— upstream open reading frames—on mRNA strands, they thought they must be either 1) random noncoding junk or 2) regulatory code that influences the translation of that mRNA.

But as genetic probing and sequencing technology became more sophisticated, researchers soon realized some of those upstream open reading frames coded for functional microproteins. This discovery brought an entirely new dimension to cellular life, as microproteins long hidden in disregarded upstream open reading frames are now in full bloom—ready to be plucked and studied.

Some of the first functional microproteins to be described were involved in metabolism and mitochondrial regulation. This includes Saghatelian’s 2024 study, in which the lab first discovered SLC35A4-MP in the walls of mitochondria. Further tests suggested the microprotein might be helping maintain healthy cellular metabolism.

But these findings were based on data collected from biochemical assays in test tubes and cells cultured in petri dishes. To fully confirm and describe SLC35A4-MP’s physiological role, they would have to test its function in a living system.

“SLC35A4-MP is among the first microproteins to be functionally characterized in mice,” says first author Andréa Rocha, a postdoctoral researcher in Saghatelian’s lab. “Indeed, we found that SLC35A4-MP regulates mitochondrial function and lipid metabolism in mice, which really goes to show that microproteins cannot be overlooked as we search for biological factors that regulate health.”

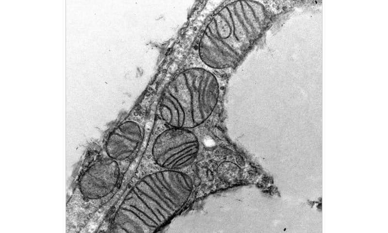
To classify SLC35A4-MP, the researchers looked at an exemplary metabolic tissue that works its mitochondria especially hard: brown fat. Brown fat cells are metabolically demanding, as they regulate energy balance and body temperature. The researchers removed SLC35A4-MP entirely from mouse brown fat cells, then induced metabolically stressful events like cold exposure or a high-fat diet.

Without SLC35A4-MP, mice were unable to dial up their metabolism during cold exposure. Their mitochondria were structurally compromised, enlarged, dysfunctional, and inflamed. Outside of the mitochondria, other parts of the brown fat cells were also affected. The researchers saw signs of cell interior remodeling and further inflammation—trademarks of metabolic decline in obesity-related conditions.

The findings demonstrate the fundamental role SLC35A4-MP plays in regulating brown fat cell function and response to metabolic stress. And because mitochondria, our buzzing cellular bees, are in every cell type in the body, the findings extend everywhere, too. SLC35A4-MP could be a powerful therapeutic target for any disease or disorder that impacts metabolic and mitochondrial function, from obesity to aging and beyond.

Microprotein research is finally springing to life, and the team sees bright blooms ahead in the search for more functional microproteins.

“As scientists have been able to add more microproteins to our protein databases, the question has remained, do these microproteins have any physiological relevance?” says Saghatelian. “And our study says yes, they are important physiological regulators. I hope that adds more fuel to the study of microproteins moving forward.”

Other authors include Antonio Pinto, Jolene Diedrich, Huanqi Shan, Eduardo Vieira de Souza, Joan Vaughan, and Mark Foster of Salk; Christian Schmedt of Novartis Research Foundation and Integrate Bioscience; Guy Perksin and Mark Ellisman of UC San Diego; Kaja Plucińska and Paul Cohen of Rockefeller University; and Srinath Sampath of Novartis Research Foundation and UC San Diego.

Share:
error: Content is protected !!